| |
Experience smoother movement with self-ligating
|
Faster. Gentler. Smarter. Discover self-ligating braces today.
|
| Say goodbye to to tight bands, and greetings to comfort! |
| |
Book My First
Appointment Now! |
|
| |
 |
| |
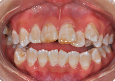
Feeling less confident to talk or socialize because of crooked teeth?
Do you find it hard to smile freely with misaligned teeth?
Worried about the pain and discomfort from traditional braces?
Many people delay treatment due to the fear of pain from traditional braces. |
|
| |
 |
| |
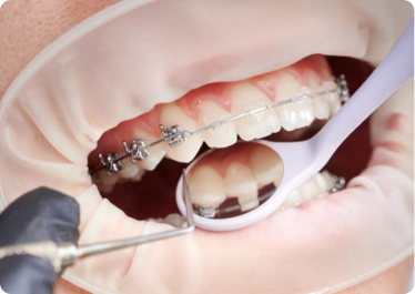
Smarter design, smoother movement.
Self-ligating braces use innovative clip-on brackets for a faster, more comfortable orthodontic experience without the bulk of rubber bands.
Don’t let discomfort hold you back. Self-ligating braces make your journey to a straighter smile smoother and easier. |
|
|
| |
Why Self-ligating braces?
|
 |
| |
| More Comfortable Treatment |
 |
| Self-ligating braces use a smooth sliding mechanism that reduces friction and pressure on teeth, making treatment more comfortable. |
| |
| Easy to Clean |
 |
| A simpler design means less chance for plaque to accumulate around the braces. |
|
| |
 |
| |
| Lower Pressure |
 |
| The balanced pressure ensures a gentler and more comfortable experience. |
| |
| More Faster Treatment |
 |
| Shorter treatment period and fewer checkups compared to conventional braces. |
|
| |
 |
| |
| Improve Oral Health |
 |
| Easier cleaning and reduced plaque buildup lower the chances of cavities and gum problems during treatment. |
| |
| Fewer Dental Visits |
 |
| No need for frequent wire adjustments or elastic changes, meaning fewer appointments throughout your treatment. |
|
| |
 |
| |
| Gentler Tooth Movement |
 |
| The light, consistent forces used help minimize discomfort and reduce the risk of root or gum irritation. |
| |
| Suitable for Wide Range Cases |
 |
| Self-ligating braces can effectively treat mild to complex alignment issues, offering flexibility for different orthodontic needs. |
|
|
| |
 |
| |
Why Choose E&E Dental Clinic?
|
| Experienced orthodontists |
|
|
| 25 000+ patients served since 2012 |
|
|
 |
| 5-star Google reviews from happy patients |
|
|
| |
Wondering if self-ligating braces can fix your teeth?
|
| Self-ligating braces are highly versatile and can treat most of the same misalignment cases with greater comfort and efficiency. It works well for: |
| |
| Crowded teeth |
|
Spacing/gaps |
|
 |
|
|
 |
|
|
 |
| Midline misalignment |
|
Rotated teeth |
|
|
| |
May I see my treatment journey?
|
| Absolutely. We will walk you through every step to your dream smile! |
| |
 |
 |
| 1st Appointment |
 |
| Consultation & Investigation |
| Your dentist examines your teeth and bite, then explains your treatment options. |
|
| |
 |
 |
| 2nd Appointment |
 |
| Pre-orthodontic treatment |
Teeth are cleaned and prepared; any necessary dental work is done before braces.
In extraction cases, extraction will be done first before the bond up session. |
|
| |
 |
 |
| 3rd Appointment |
 |
| Bond up |
The Self Ligating bracket will be placed on the surface of the tooth.
We suggest to only bond up one side to reduce the discomfort.
The other side will be bonded up in the following month. |
|
| |
 |
| |
| Monthly Appointment |
 |
| Follow Up Review |
Your dentist will check your teeth movement and tighten or adjust the wires to keep your treatment progressing.
It ensure your teeth are shifting safely and according to treatment plan. |
|
| |
 |
 |
| After Completion |
 |
| Debond after treatment complete |
Your dentist will remove your braces are finally removed, leaving a straighter teeth and smile.
They will clean the remaining glue and polish your teeth for a smooth finishing. |
|
| |
 |
 |
| Final Appointment |
 |
| Retainer issue |
| Your retainers will be custom-made to maintain your newly aligned smile and preventing your teeth from shifting again. |
|
|
| |